Your Filters
product
- mouse monoclonal (536017)
reactivity: human
application: western blot, immunohistochemistry, immunocytochemistry
citations: 1

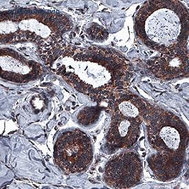
ICAT antibody in Human Fibrocystic Breast Tissue by Immunohistochemistry (IHC-P).
quantity: 100 ug (also 25 ug)
price: 379 USD
to the supplier - domestic goat polyclonal
reactivity: human
application: western blot - domestic rabbit monoclonal (JE58-47)
reactivity: human
application: western blot, flow cytometry, immunohistochemistry - paraffin section

Western blot analysis of CTNNBIP1 on HepG2 cell lysates. Proteins were transferred to a PVDF membrane and blocked with 5% BSA in PBS for 1 hour at room temperature. The primary antibody (HA720041, 1/500) was used in 5% BSA at room temperature for 2 hours. Goat Anti-Rabbit IgG - HRP Secondary Antibody (HA1001) at 1:200,000 dilution was used for 1 hour at room temperature.
Immunohistochemical analysis of paraffin-embedded human skin tissue using anti-CTNNBIP1 antibody. The section was pre-treated using heat mediated antigen retrieval with sodium citrate buffer (pH 6.0) (high pressure) for 2 minutes. The tissues were blocked in 5% BSA for 30 minutes at room temperature, washed with ddH2O and PBS, and then probed with the primary antibody (HA720041, 1/200) for 30 minutes at room temperature. The detection was performed using an HRP conjugated compact polymer system. DAB was used as the chromogen. Tissues were counterstained with hematoxylin and mounted with DPX.
Immunohistochemical analysis of paraffin-embedded human Colon cancer tissue using anti-CTNNBIP1 antibody. The section was pre-treated using heat mediated antigen retrieval with sodium citrate buffer (pH 6.0) (high pressure) for 2 minutes. The tissues were blocked in 5% BSA for 30 minutes at room temperature, washed with ddH2O and PBS, and then probed with the primary antibody (HA720041, 1/200) for 30 minutes at room temperature. The detection was performed using an HRP conjugated compact polymer system. DAB was used as the chromogen. Tissues were counterstained with hematoxylin and mounted with DPX.
quantity: 100μl
price: 385.00 USD
to the supplier - mouse monoclonal (5C6)
reactivity: human, mouse
application: western blot, ELISA, immunoprecipitation
gene information - human ICAT
- synonym:ICAT
- description:catenin beta interacting protein 1
do you know?
- we limit the listing of re-branded antibodies to provide our visitors with accurate information and the best experience
- we manually curate antibody information from the literature to obtain a comprehensive set of well-validated antibodies.
- we limit citation information for polyclonal antibodies to articles published within the last 5 years because the supply of a particular polyclonal antibody preparation is limited.
product type
- ICAT antibody
- ICAT gene knockdown
- ICAT cDNA
- ICAT protein
- ICAT other
species
linkout
questions and comments

