Your Filters
product
- domestic rabbit polyclonal
reactivity: human
application: western blot, immunohistochemistry, immunocytochemistry, immunohistochemistry - paraffin section
citations: 1

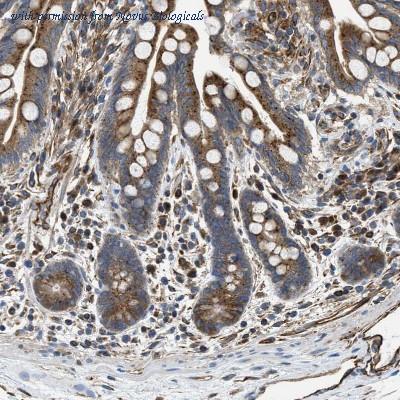
Immunohistochemistry-Paraffin: HSD17B12 Antibody [NBP1-81567] - Staining of human colon shows moderate to strong cytoplasmic positivity in glandular cells.
quantity: 0.1 ml (also 25 ul)
price: 499 USD
to the supplier - mouse monoclonal (4G11)
reactivity: human, mouse, rat
application: western blot, ELISA - domestic rabbit polyclonal
reactivity: human
application: western blot, immunocytochemistry, immunohistochemistry - paraffin section - domestic rabbit polyclonal (polyclonal)
reactivity: human
application: western blot
gene information - human HSD17B12
- synonym:KAR; SDR12C1
- description:hydroxysteroid 17-beta dehydrogenase 12
do you know?
- we limit the listing of re-branded antibodies to provide our visitors with accurate information and the best experience
- we manually curate antibody information from the literature to obtain a comprehensive set of well-validated antibodies.
- we limit citation information for polyclonal antibodies to articles published within the last 5 years because the supply of a particular polyclonal antibody preparation is limited.
product type
related gene
linkout
questions and comments

