Your Filters
product
- domestic rabbit polyclonal
reactivity: human
application: western blot, immunohistochemistry, immunohistochemistry - paraffin section

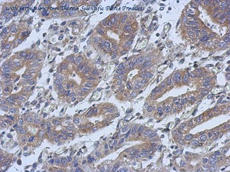
Immunohistochemical analysis of paraffin-embedded Colon ca using C14orf94 (PA5-28494) antibody at 1:500 dilution.
Western Blot analysis of C14orf94 using anti-C14orf94 Polyclonal Antibody (PA5-28494), in Jurkat Cell Lysate (30 ug of cell lysate) and at a dilution of 1:1000.
quantity: 100 uL
price: US 464.00
to the supplier - domestic rabbit polyclonal
reactivity: human
application: western blot, immunohistochemistry, immunohistochemistry - paraffin section - domestic rabbit polyclonal
reactivity: human, rat
application: western blot, ELISA, immunohistochemistry, immunohistochemistry - paraffin section
gene information - human HAUS4
- synonym:C14orf94
- description:HAUS augmin like complex subunit 4
do you know?
- we limit the listing of re-branded antibodies to provide our visitors with accurate information and the best experience
- we manually curate antibody information from the literature to obtain a comprehensive set of well-validated antibodies.
- we limit citation information for polyclonal antibodies to articles published within the last 5 years because the supply of a particular polyclonal antibody preparation is limited.
product type
- HAUS4 antibody
- HAUS4 gene knockdown
- HAUS4 cDNA
- HAUS4 protein
- HAUS4 other
species
linkout
questions and comments

