Your Filters
product
- domestic rabbit polyclonal
reactivity: human
application: immunohistochemistry, immunohistochemistry - paraffin section

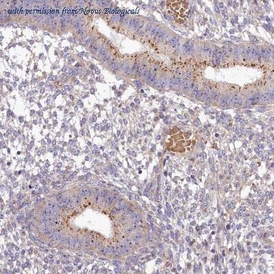
Immunohistochemistry-Paraffin: FRY Antibody [NBP2-14510] - Staining of human endometrium shows moderate cytoplasmic positivity in glandular cells.
quantity: 0.1 ml (also 25 ul)
price: 499 USD
to the supplier - domestic rabbit polyclonal
reactivity: human
application: immunohistochemistry - paraffin section
gene information - human FRY
- synonym:13CDNA73; 214K23.2; C13orf14; CG003; bA207N4.2; bA37E23.1
- description:FRY microtubule binding protein
do you know?
- we limit the listing of re-branded antibodies to provide our visitors with accurate information and the best experience
- we manually curate antibody information from the literature to obtain a comprehensive set of well-validated antibodies.
- we limit citation information for polyclonal antibodies to articles published within the last 5 years because the supply of a particular polyclonal antibody preparation is limited.
product type
- FRY antibody
- FRY gene knockdown
- FRY cDNA
- FRY other
linkout
questions and comments

