Your Filters
product
- domestic rabbit polyclonal
reactivity: human
application: western blot, immunohistochemistry, immunocytochemistry, immunohistochemistry - paraffin section

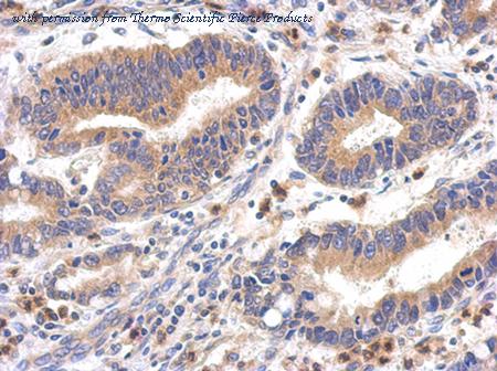
Immunohistochemical analysis of paraffin-embedded colon ca using FPGT (PA5-31546) antibody at 1:500 dilution.
Western Blot analysis of FPGT using anti-FPGT Polyclonal Antibody (PA5-31546), in A431 Cell Lysate (30 ug of cell lysate) and at a dilution of 1:2000.
quantity: 100 uL
price: US 464.00
to the supplier - domestic rabbit polyclonal
reactivity: human
application: western blot, immunohistochemistry, immunohistochemistry - paraffin section - domestic rabbit polyclonal
reactivity: human
application: western blot, immunohistochemistry - domestic rabbit polyclonal (polyclonal)
reactivity: human
application: western blot - domestic rabbit polyclonal
reactivity: human
application: western blot, immunohistochemistry, immunocytochemistry, immunohistochemistry - paraffin section
gene information - human FPGT
- synonym:GFPP
- description:fucose-1-phosphate guanylyltransferase
do you know?
- we limit the listing of re-branded antibodies to provide our visitors with accurate information and the best experience
- we manually curate antibody information from the literature to obtain a comprehensive set of well-validated antibodies.
- we limit citation information for polyclonal antibodies to articles published within the last 5 years because the supply of a particular polyclonal antibody preparation is limited.
product type
- FPGT antibody
- FPGT gene knockdown
- FPGT cDNA
- FPGT protein
- FPGT other
species
linkout
questions and comments



