Your Filters
product
- domestic rabbit polyclonal
reactivity: human
application: western blot, immunohistochemistry, immunohistochemistry - paraffin section

Western Blot analysis of FBXW5 using anti-FBXW5 Polyclonal Antibody (PA5-31635), in Hela Cell Lysate (30 ug of cell lysate) and at a dilution of 1:1000.
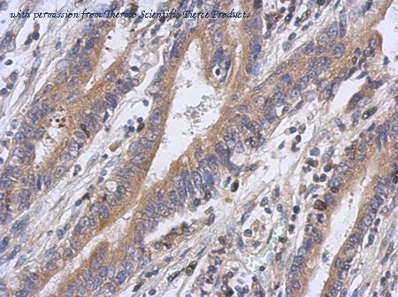
Immunohistochemical analysis of paraffin-embedded Colon ca using FBXW5 (PA5-31635) antibody at 1:500 dilution.
quantity: 100 uL
price: US 474.00
to the supplier - domestic rabbit polyclonal
reactivity: human
application: immunohistochemistry, immunocytochemistry, immunohistochemistry - paraffin section - domestic rabbit polyclonal
reactivity: human
application: western blot, ELISA
gene information - human FBXW5
- synonym:Fbw5
- description:F-box and WD repeat domain containing 5
do you know?
- we limit the listing of re-branded antibodies to provide our visitors with accurate information and the best experience
- we manually curate antibody information from the literature to obtain a comprehensive set of well-validated antibodies.
- we limit citation information for polyclonal antibodies to articles published within the last 5 years because the supply of a particular polyclonal antibody preparation is limited.
product type
- FBXW5 antibody
- FBXW5 gene knockdown
- FBXW5 cDNA
- FBXW5 protein
- FBXW5 other
linkout
questions and comments

