Your Filters
product
- domestic rabbit polyclonal
reactivity: human
application: immunohistochemistry, immunohistochemistry - paraffin section

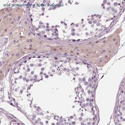
Immunohistochemistry-Paraffin: ELSPBP1 Antibody [NBP2-13958] - Staining of human testis shows moderate cytoplasmic positivity in Leydig cells.
quantity: 0.1 ml (also 25 ul)
price: 499 USD
to the supplier - domestic rabbit polyclonal
reactivity: human
application: western blot, immunohistochemistry, immunohistochemistry - paraffin section - domestic rabbit polyclonal
reactivity: human
application: western blot, immunohistochemistry, immunocytochemistry
gene information - human ELSPBP1
- synonym:E12; EDDM12; EL149; HE12
- description:epididymal sperm binding protein 1
do you know?
- we limit the listing of re-branded antibodies to provide our visitors with accurate information and the best experience
- we manually curate antibody information from the literature to obtain a comprehensive set of well-validated antibodies.
- we limit citation information for polyclonal antibodies to articles published within the last 5 years because the supply of a particular polyclonal antibody preparation is limited.
product type
- ELSPBP1 antibody
- ELSPBP1 gene knockdown
- ELSPBP1 cDNA
- ELSPBP1 other
linkout
questions and comments

