Your Filters
product
- domestic rabbit polyclonal
reactivity: human
application: immunohistochemistry, immunohistochemistry - paraffin section

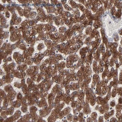
Immunohistochemistry-Paraffin: CNIH Antibody [NBP1-84422] - Staining of human liver shows strong cytoplasmic positivity in hepatocytes.
quantity: 0.1 ml (also 25 ul)
price: 499 USD
to the supplier - domestic rabbit polyclonal
reactivity: human
application: immunohistochemistry, immunohistochemistry - paraffin section
gene information - human CNIH1
- synonym:CNIH; CNIH-1; CNIL; TGAM77
- description:cornichon family AMPA receptor auxiliary protein 1
do you know?
- we limit the listing of re-branded antibodies to provide our visitors with accurate information and the best experience
- we manually curate antibody information from the literature to obtain a comprehensive set of well-validated antibodies.
- we limit citation information for polyclonal antibodies to articles published within the last 5 years because the supply of a particular polyclonal antibody preparation is limited.
product type
- CNIH1 antibody
- CNIH1 gene knockdown
- CNIH1 cDNA
- CNIH1 protein
- CNIH1 other
linkout
questions and comments

