Your Filters
product
- domestic rabbit polyclonal
reactivity: human
application: western blot, immunohistochemistry, immunohistochemistry - paraffin section

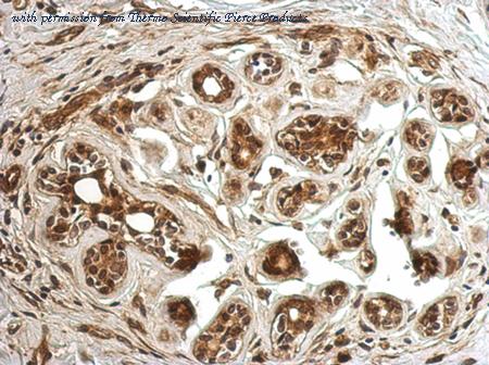
Immunohistochemical analysis of paraffin-embedded Breast ca using CC2D2B (PA5-31820) antibody at 1:500 dilution.
Western Blot analysis using anti-CC2D2B Polyclonal Antibody on the following cells: (30 ug of whole cell lysate) A: NT2D1 B: PC-3. Primary antibody (PA5-31820) diluted at 1:1000
quantity: 100 uL
price: US 464.00
to the supplier - domestic rabbit polyclonal
reactivity: human
application: immunocytochemistry - domestic rabbit polyclonal
reactivity: human
application: immunohistochemistry, immunohistochemistry - paraffin section - domestic rabbit polyclonal
reactivity: human
application: western blot
gene information - human CC2D2B
- synonym:C10orf130; C10orf131
- description:coiled-coil and C2 domain containing 2B
do you know?
- we limit the listing of re-branded antibodies to provide our visitors with accurate information and the best experience
- we manually curate antibody information from the literature to obtain a comprehensive set of well-validated antibodies.
- we limit citation information for polyclonal antibodies to articles published within the last 5 years because the supply of a particular polyclonal antibody preparation is limited.
product type
- CC2D2B antibody
- CC2D2B gene knockdown
- CC2D2B cDNA
- CC2D2B protein
- CC2D2B other
linkout
questions and comments

