Your Filters
product
- domestic rabbit polyclonal
reactivity: human
application: western blot, immunohistochemistry, immunocytochemistry, immunohistochemistry - paraffin section
citations: 1

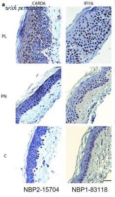
Immunohistochemistry: CARD6 Antibody [NBP2-15704] - Induced expression of NOD2, CARD6, PYCARD and IFI16 in psoriasis lesions. Immunohistochemistry shows stronger NOD2, CARD6, PYCARD and IFI16 staining in PL (upper) than in controls (lower). PN (middle) and C are almost negative for NOD2 and CARD6. IFI16 is predominantly in nuclei of PL and PN. In controls IFI16 expression is weak and cytoplasmic. PYCARD is strongly induced in cytoplasm but also some nuclei are positive in PL and PN. Controls exhibit only a few PYCARD positive nuclei. Scale bar 50 um. Image collected and cropped by CiteAb from the following publication (http://www.nature.com/articles/srep22745) licensed under a CC-BY licence.
quantity: 0.1 ml
price: 449 USD
to the supplier - domestic rabbit monoclonal
reactivity: human
application: western blot, flow cytometry - domestic rabbit polyclonal
reactivity: human
application: western blot, immunocytochemistry, immunohistochemistry - paraffin section - domestic goat polyclonal
reactivity: human
application: immunohistochemistry - domestic rabbit polyclonal
reactivity: human
application: western blot, immunohistochemistry, immunocytochemistry
gene information - human CARD6
- synonym:CINCIN1
- description:caspase recruitment domain family member 6
do you know?
- we limit the listing of re-branded antibodies to provide our visitors with accurate information and the best experience
- we manually curate antibody information from the literature to obtain a comprehensive set of well-validated antibodies.
- we limit citation information for polyclonal antibodies to articles published within the last 5 years because the supply of a particular polyclonal antibody preparation is limited.
product type
- CARD6 antibody
- CARD6 gene knockdown
- CARD6 cDNA
- CARD6 other
linkout
questions and comments

