Your Filters
product
Filters
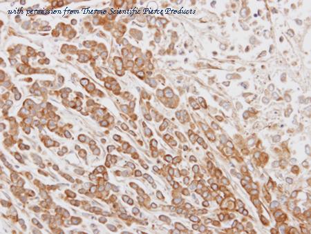
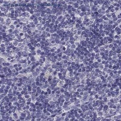
gene information - human CABS1
- synonym:C4orf35; CLPH; NYD-SP26
- description:calcium binding protein, spermatid associated 1
do you know?
- we limit the listing of re-branded antibodies to provide our visitors with accurate information and the best experience
- we manually curate antibody information from the literature to obtain a comprehensive set of well-validated antibodies.
- we limit citation information for polyclonal antibodies to articles published within the last 5 years because the supply of a particular polyclonal antibody preparation is limited.
product type
- CABS1 antibody
- CABS1 gene knockdown
- CABS1 cDNA
- CABS1 protein
- CABS1 other
species
linkout
questions and comments
