Your Filters
product
- domestic rabbit polyclonal
reactivity: human, mouse, rat
application: western blot, immunohistochemistry, immunocytochemistry, immunohistochemistry - paraffin section, immunohistochemistry - frozen section
citations: 1 - domestic rabbit polyclonal
reactivity: human
application: immunohistochemistry, immunohistochemistry - paraffin section

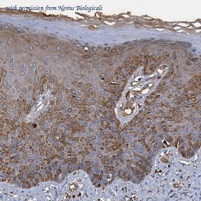
Immunohistochemistry-Paraffin: BCS1L Antibody [NBP1-88678] - Staining of human skin shows moderate positivity in cytoplasm in squamous epithelial cells.
quantity: 0.1 ml (also 25 ul)
price: 499 USD
to the supplier - mouse monoclonal
reactivity: human
application: western blot, ELISA, immunohistochemistry, immunocytochemistry - mouse monoclonal (SS-M13)
reactivity: human
application: western blot, ELISA, immunoprecipitation
gene information - human BCS1L
- synonym:BCS; BCS1; BJS; FLNMS; GRACILE; Hs.6719; MC3DN1; PTD; h-BCS; h-BCS1
- description:BCS1 homolog, ubiquinol-cytochrome c reductase complex chaperone
do you know?
- we limit the listing of re-branded antibodies to provide our visitors with accurate information and the best experience
- we manually curate antibody information from the literature to obtain a comprehensive set of well-validated antibodies.
- we limit citation information for polyclonal antibodies to articles published within the last 5 years because the supply of a particular polyclonal antibody preparation is limited.
product type
linkout
questions and comments

