Your Filters
product
- domestic rabbit polyclonal
reactivity: human, mouse
application: western blot, immunohistochemistry, immunocytochemistry, immunohistochemistry - paraffin section
citations: 2 - domestic rabbit polyclonal
reactivity: human
application: immunohistochemistry, immunohistochemistry - paraffin section

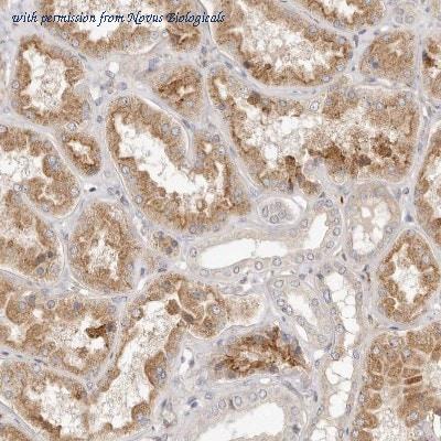
Immunohistochemistry-Paraffin: ADAMTS9 Antibody [NBP1-82915] - Staining of human kidney shows moderate cytoplasmic positivity in cells in tubules.
quantity: 0.1 ml (also 25 ul)
price: 529 USD
to the supplier - domestic rabbit polyclonal
reactivity: human
application: immunocytochemistry - domestic rabbit polyclonal
reactivity: human
application: immunohistochemistry - paraffin section - domestic rabbit polyclonal
reactivity: human
conjugate: biotin
application: western blot, ELISA, immunohistochemistry, enzyme immunoassay
gene information - human ADAMTS9
- description:ADAM metallopeptidase with thrombospondin type 1 motif 9
do you know?
- we limit the listing of re-branded antibodies to provide our visitors with accurate information and the best experience
- we manually curate antibody information from the literature to obtain a comprehensive set of well-validated antibodies.
- we limit citation information for polyclonal antibodies to articles published within the last 5 years because the supply of a particular polyclonal antibody preparation is limited.
product type
species
questions and comments


