Your Filters
product
- domestic rabbit polyclonal
reactivity: human
application: western blot, immunohistochemistry, immunocytochemistry, flow cytometry, immunohistochemistry - paraffin section
citations: 3 - domestic rabbit polyclonal
reactivity: human
application: western blot, immunohistochemistry, immunohistochemistry - paraffin section

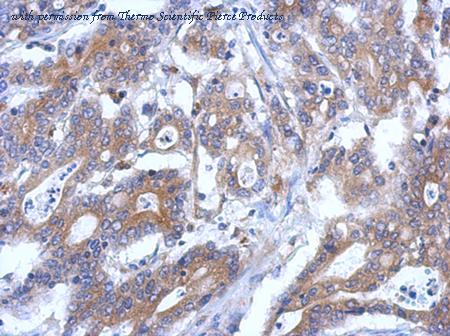
Immunohistochemical analysis of paraffin-embedded GASTRIC CA using RASSF4 (PA5-31564) antibody at 1:500 dilution.
Western Blot analysis of RASSF4 using anti-RASSF4 Polyclonal Antibody (PA5-31564), in Jurkat Cell Lysate (30 ug of cell lysate) and at a dilution of 1:1000.
quantity: 100 uL
price: US 464.00
to the supplier - domestic rabbit polyclonal
reactivity: human
application: western blot, immunohistochemistry, immunocytochemistry, immunohistochemistry - paraffin section - domestic rabbit polyclonal
reactivity: human, rat
application: western blot, immunocytochemistry
gene information - human AD037
- synonym:AD037
- description:Ras association domain family member 4
do you know?
- we limit the listing of re-branded antibodies to provide our visitors with accurate information and the best experience
- we manually curate antibody information from the literature to obtain a comprehensive set of well-validated antibodies.
- we limit citation information for polyclonal antibodies to articles published within the last 5 years because the supply of a particular polyclonal antibody preparation is limited.
product type
- AD037 antibody
- AD037 gene knockdown
- AD037 cDNA
- AD037 protein
- AD037 other
species
linkout
questions and comments


