Labome logo
home > fruit fly > fruit fly CG2186 antibody
Your Filters
product
  • ACSM2A Antibody
    Novus Biologicals
    catalog: NBP2-46841
    rabbit polyclonal
    reactivity: fruit fly
    application: western blot, immunohistochemistry, immunohistochemistry - paraffin section

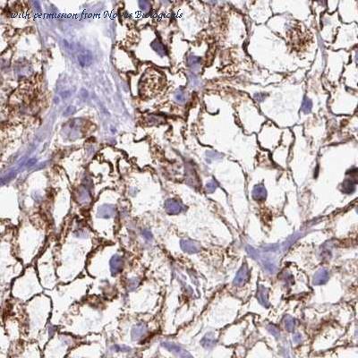
    Immunohistochemistry: ACSM2A Antibody [NBP2-46841] - Analysis of human renal cancer tissue.

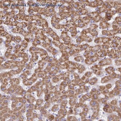
    Immunohistochemistry: ACSM2A Antibody [NBP2-46841] - Analysis of human Analysis of human liver tissue. shows strong cytoplasmic positivity in hepatocytes.

    Western Blot: ACSM2A Antibody [NBP2-46841] - Lane 1: Marker [kDa] 250, 130, 95, 72, 55, 36, 28, 17, 10, Lane 2: Human cell line RT-4, Lane 3: Human cell line U-251 MG, Lane 4: Human plasma, Lane 5: Human Analysis of human liver tissue.
    quantity: 0.1 ml
    price: 419 USD
    to the supplier
Email me when new information for the following gene becomes available: CG2186
gene information - fruit fly CG2186
    • synonym:Dmel\CG2186; CG2186; CG2186-PA; CG2186-PB
    • description:CG2186
do you know?
  • we limit the listing of re-branded antibodies in order to provide our visitors with accurate information and the best experience
  • we manually curate antibody information from literature in order to obtain a comprehensive set of well-validated antibodies.
product type
  • CG2186 antibody
linkout
  • ncbi
questions and comments

 
Labome.com © 2018 All Rights Reserved
last updated:2018-12-17