Your Filters
product
- mouse monoclonal (15G2)
reactivity: mouse, rat, dogs
application: western blot, immunohistochemistry, immunohistochemistry - frozen section
citations: 4

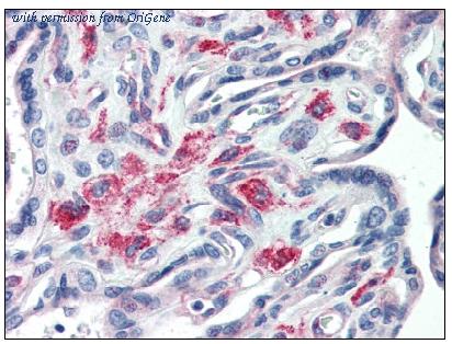
Immunohistochemistry analysis of human placenta tissue stained with Syntaxin 13, mAb (15G2) at 20µg/ml.
Western blot analysis of Syntaxin 13 (15G2), mAb (Prod. No. ADI-VAM-SV026): Lane 1: MW Marker, Lane 2: Rat Brain Lysate (Prod. No. ADI-LYT-RB100), Lane 3: Mouse Brain Lysate (Prod. No. ADI-LYT-MB100), Lane 4: CHO-K1 Cell Lysate (Heat Shocked)
quantity: 100 µg
price: 264 USD
to the supplier - mouse monoclonal (15G2)
reactivity: mouse, rat, dogs
application: western blot - Syntaxin 12 (STX12) (Cytopl. Dom.) Mouse Monoclonal Antibody [Clone ID: 15G2]
OriGene
catalog: AM20113PU-Nmouse monoclonal (15G2)
reactivity: human, mouse, rat, dogs
application: western blot, immunohistochemistry
gene information - dogs STX12
- description:syntaxin 12
do you know?
- we limit the listing of re-branded antibodies to provide our visitors with accurate information and the best experience
- we manually curate antibody information from the literature to obtain a comprehensive set of well-validated antibodies.
- we limit citation information for polyclonal antibodies to articles published within the last 5 years because the supply of a particular polyclonal antibody preparation is limited.
product type
- STX12 antibody
questions and comments


