Your Filters
product
- goat polyclonal
reactivity: human, mouse, rat, dog
application: western blot, ELISA

Western blot analysis of Rat Brain lysate using GPR83 antibody
quantity: 100 ug
price: 250 USD
to the supplier - rabbit polyclonal
reactivity: human, mouse, rat, dog, chicken, cow
application: western blot, immunohistochemistry, immunohistochemistry - paraffin section, immunohistochemistry - frozen section - rabbit polyclonal
reactivity: human, mouse, rat, dog, chicken
application: western blot, immunohistochemistry, immunohistochemistry - paraffin section, immunohistochemistry - frozen section

Western Blot: GPR83 Antibody [NBP2-24515] - Analysis of GPR83 in mouse brain lysate in the 1) absence and 2) presence of immunizing peptide using GPR83 antibody at 0.25 ug/ml.
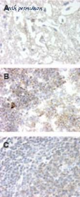
Immunohistochemistry-Paraffin: GPR83 Antibody [NBP2-24515] - Analysis of frozen brain (neurons & glia, image A), frozen tonsil tissue (lymphocytes, image B), and formalin-fixed paraffin embedded tonsil tissue using GPR83 antibody at 20 ug/ml.
Western Blot: GPR83 Antibody [NBP2-24515] - Analysis of GPR83 in lysate from 1) human brain, 2) mouse brain, and 3) rat brain using GPR83 antibody at 0.5 ug/ml.
quantity: 0.1 mg (also 0.025 mg)
price: 279 USD
to the supplier
gene information - dog GPR83
- synonym:GIR; glucocorticoid induced receptor
- description:G protein-coupled receptor 83
do you know?
- we limit the listing of re-branded antibodies to provide our visitors with accurate information and the best experience
- we manually curate antibody information from the literature to obtain a comprehensive set of well-validated antibodies.
product type
- GPR83 antibody
species
linkout
questions and comments




