Your Filters
product
- rabbit polyclonal
reactivity: human, mouse, rat, cow
application: western blot, ELISA, immunohistochemistry - paraffin section

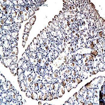
IHC-P analysis of rat pancreatic tissue using GIP antibody at a dilution of 1:200.
quantity: 100.00μg
price: 299 USD
to the supplier
Email me when new information for the following gene becomes available: GIP
gene information - cow GIP
- synonym:gastric inhibitory polypeptide; gastric inhibitor polypeptide; glucose-dependent insulinotropic polypeptide
- description:gastric inhibitory polypeptide
do you know?
- we limit the listing of re-branded antibodies in order to provide our visitors with accurate information and the best experience
- we manually curate antibody information from literature in order to obtain a comprehensive set of well-validated antibodies.
product type
- GIP antibody
linkout
questions and comments

